あなたのペースで分割払いOK!
あなたに合った治療をお近くのクリニックで メディケア歯科クリニック

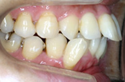
歯並びがボコボコ
八重歯など
上の前歯が出ている
出っ歯
前歯に隙間がある
すきっ歯
下前歯が前に出ている
受け口
上下が合わず口が閉じない
開口
噛み合わせが深い
過蓋咬合
歯並びが改善されることで、
見た目はもちろん、
噛み合わせが良くなり、
口腔内だけでなく
全身の健康状態も良くなります。

- 前歯だけでもOK
-
- 出っ歯だけを治したい
- 数本だけピンポイントで矯正可能
- 部分治療だから治療費がダウン↓
「前歯だけ」「出っ歯」「すきっ歯」など、軽度の歯並びの乱れが気になる方向けの矯正プランをご用意しております。お口全体の矯正治療と異なり、「気になる部分」の歯並びだけを整えます。そのため治療期間は約3ヶ月~10ヶ月 (※個人差あり)となり、その分、治療費も抑えることができます。
- 痛みに配慮した治療
-
- ワイヤー治療と比べて痛みは少ない
- あなたに合わせた治療コース
- グループ医院だから豊富な症例
マウスピース矯正は短い距離で歯を動かしていくため、ワイヤー矯正に比べて痛みが少ないと言われています。しかし、初めてマウスピースを装着した時などは痛みが出やすく、3日〜1週間ほどで和らいでいきます。痛みが強い場合は痛み止めを飲むなどして対処するようにして下さい。
当院のインビザラインなら
- 短期間から治療可能
-
- 最短で6ヶ月〜24ヶ月程度
- 数ヶ月でも変化がある
- 必要に応じて取り外し可能
個人的差はありますが、最短で6ヶ月〜24ヶ月から効果が見えてきます。また、マウスピース型の矯正器具のため、ご自分で簡単に取り外しが可能です。もちろん治療期間が長ければその分、歯は大きく動きます。しかし、軽度の歯並びの崩れであれば、短い期間でも歯並びは整います。
インビザライン矯正なので
- 透明な装置で目立たない
-
- 矯正してると気づかれにくい
- 笑顔になっても目立たない
- 食事中など取り外し可能
「インビザライン矯正」は、透明なマウスピース型の矯正器具のため、人に気づかれずに歯並びを整えていくことができます。また、従来のワイヤー矯正と異なり、必要に応じて取り外せます。そのため、食事中や歯磨き時など、ご自身のタイミングで外すことができます。
カウンセリング受付中
- お電話からの方は、
インビザサイトを見たとお伝えください。
- 0120-642-303
お悩み別
症例紹介




-
| 治療内容 |
前歯のガタガタ(叢生)をマウスピースにて矯正 |
| 治療期間/回数 |
7ヶ月/6回 |
| 治療費 |
月々約7,000円(税込)総額358,000円(税込) |
| リスク |
虫歯・歯肉炎・歯周病・ブラックトライアングル・歯根吸収・歯肉退縮・1日20時間以上のマウスピース装着が必須・マウスピースにより痛みを感じる可能性・治療中に一時的に咬み合わせに不具合をきたす可能性・動かした歯や歯周組織が安定するまで保定が必要。リテーナーは、動的治療終了後も歯科医の指示に従い装着してください。歯は加齢等によっても動き続けるため、できる限り長い期間、リテーナーを装着したほうがいいと考えられています。
|
※自由診療になります。
※支払い回数により料金が変わります。
※別途検査代50,000円、調整料2,000円/回が掛かります。
※効果には個人差があります。


-
| 治療内容 |
出っ歯(上顎前突)と奥歯のガタガタ(叢生)をマウスピースにて矯正 |
| 治療期間/回数 |
13ヶ月/12回 |
| 治療費 |
月々約12,000円(税込)総額935,000円(税込) |
| リスク |
虫歯・歯肉炎・歯周病・ブラックトライアングル・歯根吸収・歯肉退縮・1日20時間以上のマウスピース装着が必須・マウスピースにより痛みを感じる可能性・治療中に一時的に咬み合わせに不具合をきたす可能性・動かした歯や歯周組織が安定するまで保定が必要。リテーナーは、動的治療終了後も歯科医の指示に従い装着してください。歯は加齢等によっても動き続けるため、できる限り長い期間、リテーナーを装着したほうがいいと考えられています。
|
※自由診療になります。
※支払い回数により料金が変わります。
※別途検査代50,000円、調整料2,000円/回が掛かります。
※効果には個人差があります。


-
| 治療内容 |
八重歯(乱杭歯)と前歯を中心としたガタガタ(叢生)をマウスピースにて矯正 |
| 治療期間/回数 |
13ヶ月/12回 |
| 治療費 |
月々約12,000円(税込)総額935,000円(税込) |
| リスク |
虫歯・歯肉炎・歯周病・ブラックトライアングル・歯根吸収・歯肉退縮・1日20時間以上のマウスピース装着が必須・マウスピースにより痛みを感じる可能性・治療中に一時的に咬み合わせに不具合をきたす可能性・動かした歯や歯周組織が安定するまで保定が必要。リテーナーは、動的治療終了後も歯科医の指示に従い装着してください。歯は加齢等によっても動き続けるため、できる限り長い期間、リテーナーを装着したほうがいいと考えられています。
|
※自由診療になります。
※支払い回数により料金が変わります。
※別途検査代50,000円、調整料2,000円/回が掛かります。
※効果には個人差があります。


- Q-1なぜ、こんなに安いの?
- A-1大手からマウスピース型矯正歯科装置の提供を受けているため、製作コストがかなり抑えられております。ですので、その分治療費を通常よりも抑えることが可能なのです。
- Q-2マウスピースの取り外しは可能ですか?
- A-2可能です。
インビザラインの最大のメリットは、従来のワイヤー矯正とは異なりご自身でマウスピースを取り外せることにあります。お食事中などマウスピースが邪魔な場面は取り外してご使用ください。
しかしながら、しっかりと効果を出すために、1日の目安である「およそ20時間は装着」は守ってください。
- Q-3年齢による制限はありますか?
- A-3子どもも成人もご利用いただけます。しかしながら、どの歯科医院でもできるわけではないので、インビザラインをご検討される際は、「どこで矯正治療を受けるか」はしっかり見極める必要がございます。当院には矯正の専門ドクターが在籍しておりますので、ご安心して治療に臨むことが可能です。
- Q-4被せ物(差し歯)がある場合でも治療できますか?
- A-4可能です。
しかしながら、虫歯がある場合や親知らずの生えかたによっては矯正治療の前にまずはそちらをしっかりと治療する必要がございます。当院は矯正専門医院とは異なり、虫歯治療や高度なインプラント治療なども対応可能です。


メディケア歯科クリニック茅ヶ崎
[神奈川県茅ヶ崎市]
神奈川県茅ケ崎市新栄町11-20 ニシノミヤビル4階
| 診療時間 |
月火水木金土日 |
| 10:00〜19:30 |
●●●●●●● |
※土日祝は通常通り診療を行っております。
0120-642-303
茅ヶ崎のホームページを見る
メディケア歯科クリニック新船橋
[千葉県船橋市]
千葉県船橋市北本町1-19-50
イオンタウン新船橋2F
| 診療時間 |
月火水木金土日 |
| 10:00〜19:30 |
●●●●●●● |
※土日祝は通常通り診療を行っております。
047-409-8118
新船橋のホームページを見る
メメディケア歯科クリニック下妻
[茨城県下妻市]
茨城県下妻市堀籠972-1
イオンモール下妻1F
| 診療時間 |
月火水木金土日 |
| 10:00〜19:00 |
●●●●●●● |
※土日祝は通常通り診療を行っております。
0120-70-4180
下妻のホームページを見る
メディケア歯科クリニック小山
[栃木県小山市]
栃木県小山市中久喜1467-1
イオンモール小山1F
| 診療時間 |
月火水木金土日 |
| 10:00〜19:00 |
●●●●●●● |
※土日祝は通常通り診療を行っております。
0120-02-4182
小山のホームページを見る
メディケア歯科クリニック 新発田
[新潟県新発田市]
新潟県新発田市住吉町5-11-5 イオンモール新発田1F
| 診療時間 |
月火水木金土日 |
| 10:00〜19:00 |
●●●●●●● |
※土日祝は通常通り診療を行っております。
0254-28-7838
新発田のホームページを見る
メディケア歯科クリニック長野三輪
[長野県長野市]
長野市三輪9-43-24 イオンタウン2階
| 診療時間 |
月火水木金土日 |
| 10:00〜19:30 |
●●●●●●● |
※土日祝は通常通り診療を行っております。
026-219-4184
長野三輪のホームページを見る
- カウンセリング受付中!
-
-
お電話は各医院へ
インビザサイトを見たとお伝え下さい